在临床诊疗中,我们有时会遇到一些“狡猾”的疾病,它们表现多样,极易与其他常见病混淆。近期一位年轻患者的就诊经历,正揭示了这种挑战,而一次关键的全身PET/CT检查,最终拨开迷雾,锁定了幕后真凶——一种名为Erdheim-Chester病的罕见疾病。
相关病例
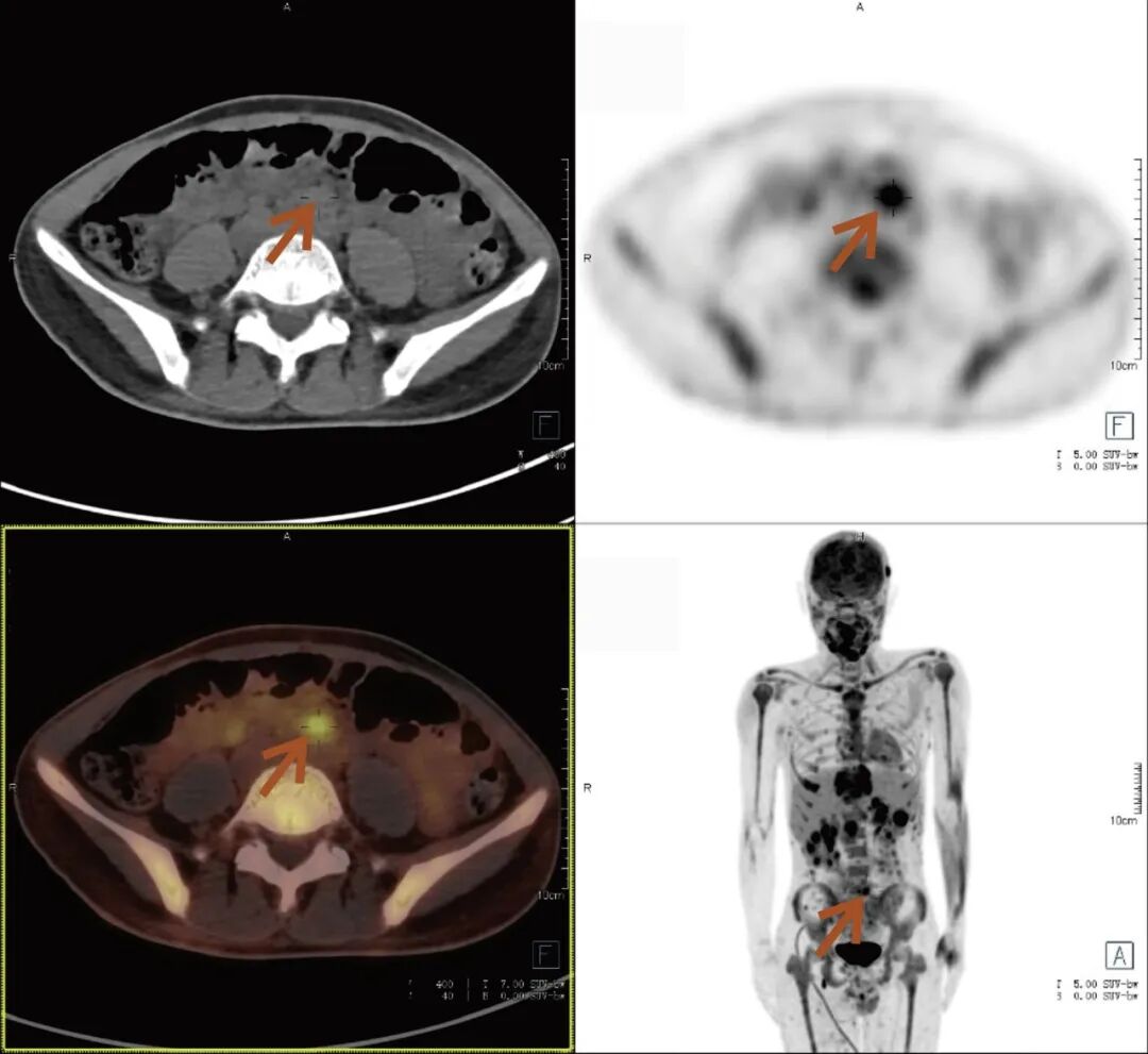
张先生(化名),因持续3个多月的腹痛、腰痛在外院就诊。初始CT检查发现其胸11椎体骨质破坏伴周围软组织肿胀,考虑为“脊柱结核”等感染性病变,并接受了中药治疗。然而,两个月后,张先生又出现了新的症状——牙痛。 经病理活检及免疫组化检查,最终确诊为极为罕见的Erdheim-Chester病。为全面评估这一可累及全身多系统疾病的侵犯范围、明确病灶活动性,并为制定精准治疗方案提供依据,张先生进行了全身PET/CT检查。 PET/CT检查图像: PET/CT检查结果: (1)中轴骨及四肢骨广泛FDG代谢活跃伴信号异常;其中胸10、胸11椎体病灶周围软组织增厚,累及邻近椎管内及双侧椎间孔、双侧胸膜,并与主动脉分界不清。 (2)全身皮下及肌层内多发结节及肿块,FDG代谢活跃;全身软组织广泛肿胀。 (3)鼻咽各壁增厚,顶后壁为著,FDG代谢活跃。 (4)甲状腺多发结节,FDG代谢活跃;双肾及胰腺多发结节及肿块,FDG代谢活跃;双侧阴囊内异常信号伴FDG代谢活跃; (5)左侧锁骨上窝、纵隔内(2L区、3A区)、降主动脉旁、左侧横膈前组、右侧腋窝、左肾周间隙、肠系膜区、双侧髂血管旁多发淋巴结,FDG代谢活跃; (6)心包局部呈结节状稍增厚,FDG代谢轻度活跃; 综上,结合临床,均考虑Erdheim-Chester病所致。 此次PET/CT不仅证实了已知的脊柱病变,更一次性揭示了临床尚未怀疑的、广泛存在于内脏、淋巴结及软组织的隐匿病灶,为疾病分期与治疗提供了决定性依据。
景哥提醒 什么是Erdheim-Chester病? Erdheim-Chester(ECD)病是一种极为罕见的、克隆性的非朗格汉斯细胞组织细胞增多症,属于血液系统肿瘤范畴。它并非传统癌症,但具有侵袭性,可导致多器官功能障碍。Erdheim-Chester的总体发病率不详,至今全世界约有1000 例ECD报道。中老年发病多见,中位发病年龄为 55~60 岁,儿童病例罕见。男女发病率无明显差异[1]。 Erdheim-Chester病有哪些临床表现? Erdheim-Chester病可累及全身各系统,症状多样且无特异性,常表现为: 骨骼:长骨疼痛(但仅约50%患者出现)。 心血管/腹膜后:病变包绕血管或输尿管,可引起高血压、腹痛、肾积水等。 眼部:突眼是常见表现。 中枢神经系统:可导致共济失调、尿崩症、认知障碍等。 皮肤:可见黄色瘤样皮疹。 全身症状:发热、体重减轻、乏力等。 Erdheim-Chester病的诊断 影像学评估(关键步骤):全身PET/CT是评估病变范围、活动性和监测疗效的核心工具。 病理活检(金标准):需取病变组织进行病理检查,镜下可见“泡沫样”组织细胞浸润,免疫组化显示 CD68(+), CD1a(-), S-100蛋白(+/-)。 基因检测:多数病例存在MAPK通路基因突变(如BRAF V600E),对指导靶向治疗至关重要。
结语
本例诊疗历程凸显,对于症状分散、疑似系统性疾病尤其是罕见病的患者,全身PET/CT检查能够实现“一站式”精准评估,如同为临床医生提供了一幅详尽的“全身病变作战图”,避免了单一部位检查可能造成的漏诊,是明确诊断、指导治疗和判断预后的强大工具。



